Tụ cầu vàng (Staphylococcus aureus) là một loại vi khuẩn thường trú trên da và niêm mạc của con người, song khi xâm nhập vào máu, chúng có thể gây ra những biến chứng vô cùng nguy hiểm. Đặc biệt, ở trẻ em – nhất là trẻ sơ sinh và thiếu niên – tụ cầu vàng có thể dẫn đến tình trạng sốc nhiễm khuẩn, tổn thương đa cơ quan và thậm chí tử vong nếu không được phát hiện và điều trị kịp thời.
Trẻ sơ sinh điều trị sốc nhiễm khuẩn tụ cầu vàng tại khoa hồi sức tích cực. Hình minh họa.
Tụ cầu vàng: vi khuẩn "quen mặt" là "sát thủ thầm lặng"
Vi khuẩn tụ cầu vàng tồn tại sẵn trên cơ thể người mà không gây hại. Tuy nhiên, khi hàng rào miễn dịch bị tổn thương – ví dụ qua vết thương hở, can thiệp y tế xâm lấn hoặc suy giảm miễn dịch – vi khuẩn này có thể đi vào máu và lan tới các cơ quan quan trọng như phổi, não, tim, gan.
Một số chủng tụ cầu vàng còn tiết ra độc tố mạnh gây hiện tượng gọi là sốc độc tố tụ cầu (toxic shock syndrome) – biểu hiện bằng rối loạn huyết áp, suy hô hấp, rối loạn ý thức, phù não, tổn thương gan – thận, và đông máu rải rác trong lòng mạch.
Tình hình đáng báo động tại Việt Nam
Gần đây, nhiều bệnh viện lớn tại Việt Nam ghi nhận sự gia tăng ca mắc sốc nhiễm khuẩn tụ cầu vàng ở trẻ em. Trong đó, các bệnh viện như Bệnh viện Nhi Trung ương, Bệnh viện Bệnh nhiệt đới Trung ương, Bệnh viện Sản Nhi Nghệ An liên tục tiếp nhận các ca bệnh nguy kịch.
Một trường hợp được báo cáo là bé gái 15 tuổi (ở Bắc Ninh), vào viện trong tình trạng sốc, hôn mê, suy hô hấp. Kết quả chụp CT cho thấy phù não, hình ảnh tổn thương lan tỏa ở phổi. Cấy máu dương tính với tụ cầu vàng. Bệnh nhân may mắn được cứu sống sau nhiều ngày hồi sức tích cực.
Một trường hợp khác, bé sơ sinh 8 tháng tuổi bị sốc nhiễm khuẩn tụ cầu vàng, đã phải điều trị gần hai tháng tại Bệnh viện Sản Nhi Nghệ An với các biện pháp: thở máy, lọc máu, kháng sinh phối hợp và chăm sóc đặc biệt.
Tỷ lệ tử vong cao
Theo nghiên cứu công bố năm 2025 trên tạp chí Current Pediatrics, tỷ lệ tử vong ở trẻ mắc sốc nhiễm khuẩn do tụ cầu vàng có thể lên đến 71%, cao hơn nhiều so với mức tử vong chung do nhiễm khuẩn huyết. Những yếu tố làm tăng nguy cơ tử vong bao gồm:
- Tuổi sơ sinh hoặc trẻ nhỏ dưới 5 tuổi
- Có tổn thương đa cơ quan (gan, thận, tim)
- Rối loạn đông máu
- Nồng độ procalcitonin cao
- Không được điều trị kháng sinh sớm
Bên cạnh đó, các công cụ chẩn đoán như Phoenix Sepsis Score – được ứng dụng tại Việt Nam – cho thấy hiệu quả cao trong tiên lượng mức độ nặng và nguy cơ tử vong, vượt trội hơn các chỉ số truyền thống như NLR (tỷ lệ bạch cầu trung tính/lympho).
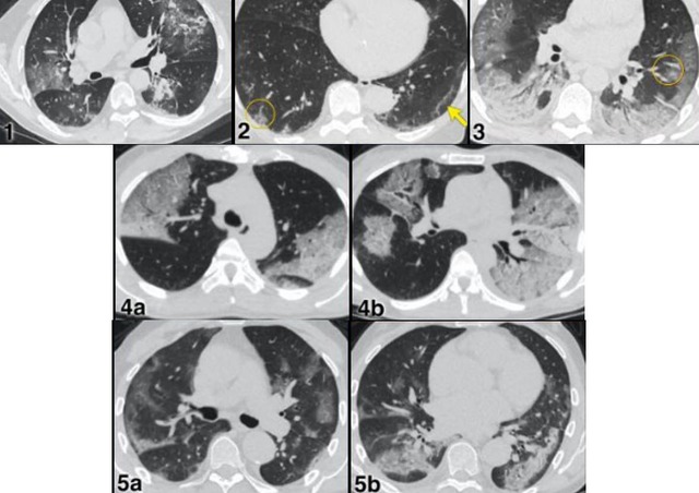
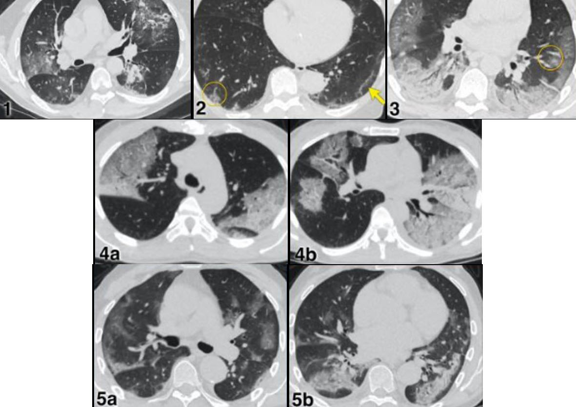
Hình ảnh CT cho thấy tổn thương phổi lan tỏa do sốc nhiễm khuẩn tụ cầu vàng.
Triệu chứng nhận biết sớm sốc nhiễm khuẩn do tụ cầu vàng ở trẻ em
Sốc nhiễm khuẩn do tụ cầu vàng ở trẻ thường không có dấu hiệu điển hình ban đầu. Nhiều trẻ nhập viện chỉ với triệu chứng giống cảm cúm hoặc tiêu chảy. Tuy nhiên, diễn tiến bệnh có thể xảy ra nhanh chóng trong vòng 24–48 giờ:
Giai đoạn sớm:
- Sốt cao kéo dài.
- Phát ban da (ban đỏ, nổi mụn mủ nhỏ).
- Sưng nề bất thường tại một số vùng như cổ chân, mu bàn chân, vùng bẹn
- Mệt mỏi, biếng ăn, li bì
Giai đoạn nặng:
- Khó thở, thở nhanh, co kéo lồng ngực.
- Rối loạn ý thức: lơ mơ, hôn mê.
- Nôn ói, tiêu chảy nặng.
- Tụt huyết áp, tím tái.
- Phù não, suy thận, suy gan.
- Nếu không phát hiện sớm, trẻ có thể nhanh chóng rơi vào trạng thái sốc, suy đa cơ quan và tử vong.
Xét nghiệm, chẩn đoán và điều trị
Việc chẩn đoán sốc nhiễm khuẩn do tụ cầu vàng cần kết hợp lâm sàng và cận lâm sàng, bao gồm:
- Cấy máu để tìm vi khuẩn.
- Xét nghiệm CRP, procalcitonin, khí máu.
- Chụp X-quang phổi, CT sọ não nếu nghi tổn thương tạng.
- Theo dõi chức năng gan, thận, đông máu
Nguyên tắc điều trị:
- Kháng sinh sớm: dùng vancomycin, linezolid hoặc phối hợp tùy theo kết quả kháng sinh đồ
- Chống sốc: truyền dịch, vận mạch
- Hồi sức hô hấp: thở máy nếu suy hô hấp
- Dẫn lưu ổ áp xe nếu có
- Lọc máu, thay huyết tương trong trường hợp suy gan/thận
Bệnh nhi cần được điều trị tại khoa hồi sức tích cực nhi hoặc trung tâm chống độc nhi khoa, nơi có đầy đủ trang thiết bị và nhân lực.
Biện pháp phòng ngừa tụ cầu vàng
Việc phòng ngừa nhiễm khuẩn tụ cầu không dễ, vì vi khuẩn này tồn tại phổ biến trong cộng đồng. Tuy nhiên, một số biện pháp sau có thể giúp giảm nguy cơ mắc bệnh:
- Giữ vệ sinh thân thể, da và vết thương cho trẻ, đặc biệt với trẻ sơ sinh.
- Không tự ý điều trị kháng sinh tại nhà.
- Đưa trẻ đi khám sớm khi có dấu hiệu sốt kéo dài, phát ban, sưng vùng da, mệt mỏi, tiêu chảy kéo dài.
- Đặc biệt, với các bậc phụ huynh có con từng mắc bệnh lý nền như tim bẩm sinh, hen, suy giảm miễn dịch, cần theo dõi sát hơn và chủ động báo cho bác sĩ khi có bất thường.
Sốc nhiễm khuẩn do tụ cầu vàng là tình trạng cấp cứu nghiêm trọng ở trẻ em, với nguy cơ tử vong cao nếu không được can thiệp kịp thời. Nhận diện triệu chứng sớm, chẩn đoán chính xác và điều trị tích cực là yếu tố sống còn để cứu sống bệnh nhi.